Dentgroup International

Last Updated on March 11, 2026

Dentgroup International

Dentgroup International’s Lara Clinic was established in 2016 as part of a broader initiative that began with Dentgroup International in 2006. The clinic focuses on a new generation of dentistry that combines advanced technology with personalized care, offering high-quality dental treatments tailored to each patient’s needs for a comfortable and satisfying experience. Today, the clinic’s team of 14 specialist dentists works alongside experienced patient coordinators and nurses to provide high-quality and personalized dental care. 

The clinic is located in Lara, one of the most central and beautiful districts of Antalya, and just 8 miles from the airport, making it easy to reach for visitors from abroad. It’s close to many hotels, beaches, and popular attractions. The clinic is also licensed for international health tourism and follows strict hygiene standards, and only uses the latest dental technology and certified materials.

Every year, Dentgroup welcomes many international patients, and treatments are much more affordable than in Western countries. And with expertise in every field from implantology to orthodontics, Dentgroup Antalya Lara offers a wide range of treatments, including teeth whitening, aesthetic dentistry, digital smile design, porcelain laminates, and implant-supported prosthetics. The clinic also offers orthodontic treatments such as full digital prosthetics, braces, and clear aligners (Invisalign). In addition, they provide pediatric dental services designed specifically for children, including cavity treatments and preventive care.

If you’d like to learn more or need help planning your visit, fill out the form below to book your free consultation today!

Dentgroup International

Treatments Offered

Dentgroup International offers a broad range of dental procedures and services. Here is a list of the most popular treatments available:

Cosmetic Dentistry Treatments

Procedures such as teeth whitening, dental crystals, dental jewelry (Grillz), aesthetic fillings, aesthetic smile design, and porcelain veneers.

cost of dental in turkey

Advanced Prosthodontics

Including digital full dental prosthetics, precision-connected dental prosthetics, complete dentures, inlay and onlay dental restorations, and clasp dentures.

Orthodontic Treatments

Wireless orthodontics (Invisalign), Incognito (lingual orthodontics), and traditional orthognathic surgery (jaw surgery).

Cost of getting your teeth fixed in Turkey

Periodontal Treatments

Procedures for addressing gum recession, gum aesthetics, gum bleeding, and halitosis (bad breath).

Oral Surgery Procedures

Treatment of jaw cysts, impacted teeth, frenectomy (lip/tongue tie removal), and jaw bone grafts.

Special Procedures

Specialized techniques and procedures, such as the All-On-4 Implant Technique, which offers a full-arch restoration on just four implants, providing a permanent, screw-retained replacement for the entire upper and lower arch.

Digital Dentistry Innovations

Such as 3Shape system, digital 3D imaging, digital impressions and scanning, digital anesthesia, digital surgical guides (surgical guided implants), and digital orthodontics.

Diagnostic Techniques

Procedures such as 3D jaw and tooth tomography and oral cancer diagnosis to ensure precise assessments and early detection of potential issues.

dental work cost in turkey

Specialized Dental Techniques

Mini dental implants, laser dentistry, and sports dentistry.

cost of dental procedures

Preventive and General Dental Care

Treatments specialized in prevention and managing tooth pain, root canal treatments, and wisdom teeth removal.

Pain and Infection Management

Special treatments for emergencies like tooth pain and infections, with prompt and effective treatments.

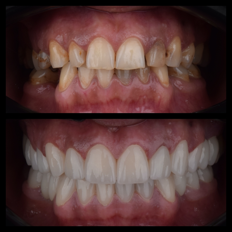
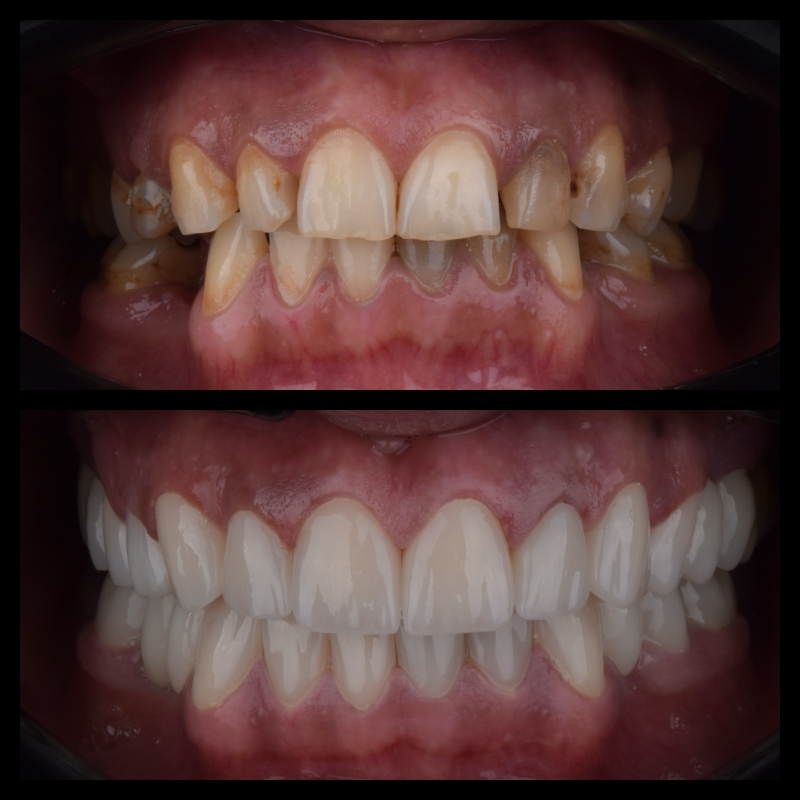
Before & After Photos

See how Dentgroup International transforms lives and smiles. Here are real results from patients.

Testimonials

With more than 760+ Google reviews and a 4.9-star rating, the Dentgroup Clinic is highly praised by patients for its skilled doctors, clear communication, and welcoming environment. Here’s what they’re saying:


From showing an interest in having the implants done!

⭐⭐⭐⭐⭐ Jayne J. July 7, 2025

From showing an interest in having the implants done,I received a complete breakdown of the procedure from Canan Sezgin my planner and interpreter, she booked hotel and transport from airport. I cannot praise canan highly enough for her professional attitude and help throughout my procedure.The whole team were brilliant ,the dentist Selin Erkan and the nurse Aslihan Ceylan ,made me feel very at ease ,every step of the procedure was explained by Canan, who was there to meet me at the clinic with every visit. Thank you all


Highly highly recommended.

⭐⭐⭐⭐⭐ Shah S. February 21, 2025

Got my implants done here with bone grafting.Had a great experience with them. The whole team is super nice. The communication was clear and they gave me a detailed explanation of the options I had.


Incredible experience

⭐⭐⭐⭐⭐ Demir O. September 9, 2024

Looking at my old photos, I wasn’t able to smile for over 30 years… That ended a week later I had an intake with the manager who worked as Dentist both in Germany and Turkey. Process was explained throughly, pricing was discussed in advance, no surprises and also they provided transfer from our hotel. Incredible experience to be frank. Best thing is though, I am smiling without worry anymore. Price wise, price to dental cleaning in the Netherlands two person is same as smile treatment, dental hygiene, multiple cavity fixes, crown, wisdom tooth removal for two. No brainer to be frank.

 

Meet The Team

Dentgroup International is home to a team of experienced dental professionals who are experts in their fields. Each doctor is committed to providing high-quality and precise care. Learn more about some of the Dentgroup doctors.

Dt. Emine Selin Erkan

Prosthodontics Specialist, Dt. Emine Selin Erkan was born in Elazığ. She received her high school education at Antalya Anatolian High School and graduated from Hacettepe University, Faculty of Dentistry. She received her specialty training at Çukurova University, Faculty of Dentistry, Department of Prosthodontics. Spec. Dt. Erkan is a member of the Turkish Dental Association (TDB), the Turkish Prosthodontics and Implantology Association (TPID), and the International Team for Implantology (ITI).

Dt. Turgay Mutlu

Periodontist Turgay Mutlu was born in Izmir. He completed his high school education at İzmir Atatürk High School and his undergraduate education at Ege University Faculty of Dentistry. He completed his specialty education at the Department of Periodontology, Faculty of Dentistry, Karadeniz Technical University. He participated in many congresses and symposiums on Periodontology and Implantology abroad and in Turkey. Mainly in his professional studies, he focuses on the treatment of gum disease, the treatment of gingival recessions, directed tissue regeneration, and implant surgeries.

Dt. Eren Emren

Dt. Eren Emren was born in Antalya. He completed his high school education at Antalya Metin Nuran Çakallıklı Anatolian High School in 2009 and graduated from Ege University, Faculty of Dentistry in 2015. Dt. Eren Emren is a member of the Turkish Dental Association (TDB), the International Team of Implantology (ITI), and the Computer-Aided Dentistry Academy (CADA). He offers his services at Dentgroup Antalya Clinic.

Dt. Sercan Yılmaz

Oral, Dental, and Maxillofacial Surgeon Specialist Dt. Sercan Yılmaz was born in Giresun. He successfully graduated from Ankara University, Faculty of Dentistry in 2016. He started his specialty training at Karadeniz Technical University, Faculty of Dentistry, Department of Oral and Maxillofacial Surgery in 2017, and he successfully completed his specialty training in 2021. Spec. Dt. Sercan Yılmaz is a member of the Turkish Dental Association (TDB), the Turkish Association of Oral and Maxillofacial Surgery (TAOMS), and the International Team For Implantology (ITI). He offers his services at Dentgroup Antalya - Lara Dental Clinic.

Location & Travel Information

Dentgroup Clinic is located in Antalya's Lara district, just 8 km from the Antalya Airport (AYT). Antalya is a major tourism hub, so there are frequent flights from many countries, making travel for dental treatment easier and often more affordable.

Antalya is known for its turquoise blue seas, beautiful beaches, and lush green mountains. It is an ideal place for recovery after dental procedures. The city enjoys a mild Mediterranean climate, with gentle winters and warm summers. This pleasant weather allows year-round visits, which is particularly advantageous for patients coming for dental treatments who might prefer certain seasons. There are plenty of accommodation options too, from luxury resorts to budget-friendly hotels.

Antalya has something for everyone, and you’ll never run out of things to see and do. The city is full of history, with Roman ruins like Hadrian’s Gate and the ancient cities of Aspendos and Perge, and it has modern shopping centers, gourmet restaurants, and vibrant nightlife too.

Choosing Dentgroup International means selecting a dental clinic that values precision, innovation, and personalized care. Fill out the form to learn more about how Dentgroup International can transform your dental health with advanced treatments and personalized care. Take the first step towards a brighter, healthier smile today!

 

Get the Best Treatment of Your Life with Dentgroup International

Their advanced technologies, combined with a team of seasoned dental professionals, ensure that every patient receives the highest quality of care tailored to their specific needs. Whether you're seeking routine dental care or complex surgical solutions, Dentgroup International is equipped to offer the best dental services in a comfortable and welcoming environment. Schedule an appointment or learn more by filling out the form.

Visit our Facebook group:

Medical Tourism in Turkey